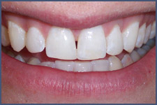
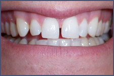
Bonding is an excellent cosmetic option because it usually requires very little cutting away of natural tooth structure. A tooth-like material that looks, acts, and feels like the real thing is added to the tooth, allowing Dr. Skradski to “sculpt” its shape and length. Bonding is an excellent option for closing gaps and shaping misformed teeth.
Pre Bonding
Pre Bonding
Post Bonding
Post Bonding