Bleaching your teeth is a relatively easy and safe way to dramatically improve the appearance of your teeth. We offer two types of bleaching systems: “bleaching trays” or “in-office bleaching”. Both of these systems are up to ten times more effective than over-the-counter products and come with “touch up” kits for a beautiful smile for years to come.
Pre Bleach
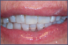
Pre Bleach
Post Bleach
Post Bleach

Bleaching Tray
Bleaching Trays
Bleaching Trays are customized, clear forms made to fit tightly to your upper and lower teeth. Once a day (most patients prefer to wear their trays overnight), bleaching solution is placed in the trays and the trays are then worn for at least one hour. The tray system takes several days to achieve your full result, but very little sensitivity is experienced with this system when compared to our in-office system. After initial treatment, “touch up” tubes of bleach may be purchased as needed.

Zoom Bleaching Process
Zoom Bleaching System
We utilize the Zoom Bleaching System in-office. This procedure requires about an hour of “prep” time and an hour under the bleaching light while in the office. Your complete result is achieved at this visit. Many patients prefer this method because of the convenience. However, increased (short-term) sensitivity may be experienced. For more information on our Zoom system, please call the office.